怎么申请皇冠信用网 _广东一男子20多年不敢一个人出门,医生从他脑中取出10厘米活虫
皇冠信用网会员开户(www.hg0088.us)皇冠会员开户_登3代理,皇冠信用网/—开会员账号—皇冠信用网招登1登2登3皇冠信用网平台出售,家住汕尾的阿勇(化名)今年52岁,从21年前开始出现癫痫大发作以来,他几乎从未独自出过门怎么申请皇冠信用网 。近日,广州的医生从他颅内取出一条潜伏长达20余年、约10厘米的裂头蚴,他感到前所未有的轻松。
不敢独自出门的男子
“距离现在已经有21年了!”阿勇感慨道怎么申请皇冠信用网 。那晚,他在睡梦中突然四肢抽搐、牙关咬紧、眼球上翻,完全失去意识。在当地医院被诊断为“肉芽肿炎”,但医生告知,手术可能加剧发作,阿勇选择了保守治疗。
服用抗癫痫药后,阿勇依然会出现癫痫发作怎么申请皇冠信用网 。他的心理压力与日俱增,“每天在家,不敢一个人出门,担心随时发作。”他感觉脑袋始终堵着东西,只能靠小诊所的药片暂时缓解。
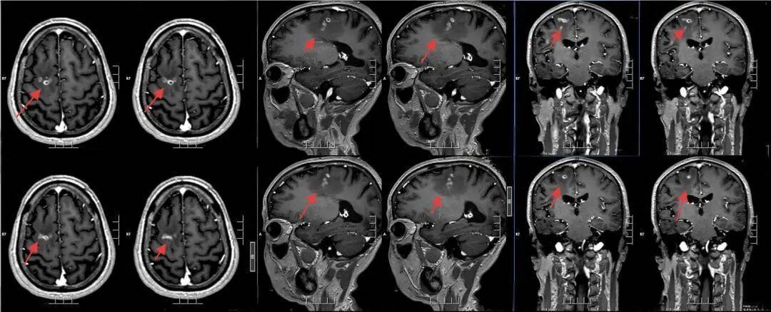
一年前,阿勇的病情进一步加重怎么申请皇冠信用网 。每次发作后,会出现短暂失语、左侧面瘫和肢体麻木。颅脑MRI检查结果提示,可能是寄生虫感染。为寻求进一步诊疗,阿勇来到广东三九脑科医院。
手术取出10厘米活虫
该院神经外二科张旭标副主任医师接诊后,根据影像结果,发现其右额叶病变,局部肉芽肿形成伴周围组织水肿怎么申请皇冠信用网 。“这是大脑为了隔离‘入侵者’筑起一道‘隔离墙’,周围的脑组织被刺激得肿胀。”张旭标解释,这些影像特征高度指向脑裂头蚴病。经比对,病灶范围稳定,手术时机成熟。

术前影像
“很激动,身体被搞垮了20多年怎么申请皇冠信用网 。”得知手术有望根治顽疾,阿勇在期待中夹杂着紧张。
手术采用神经导航技术,精确定位病变,张旭标在显微镜下小心抓取寄生虫、清理“虫窝”,避免损伤周围功能区脑组织怎么申请皇冠信用网 。术中,一条长约10厘米的灰白色寄生虫被完整取出。术后病理报告证实为裂头蚴。

张旭标在手术中
术后恢复良好的阿勇,脸上露出了笑容,“头不‘堵’了,感觉人都开朗、轻松了怎么申请皇冠信用网 。”
该院神经外二科副主任刘妲介绍,裂头蚴病多与饮食习惯相关,常因食用未煮熟的青蛙、蛇类,或饮用被污染的生水所致怎么申请皇冠信用网 。阿勇回忆,自己曾喝过生水,后来偶尔也会食用生腌虾蟹。
寄生虫在大脑中“安家”后,会持续刺激周围组织,引发肉芽肿和水肿,压迫神经结构,进而导致癫痫、头痛、肢体麻木甚至意识丧失怎么申请皇冠信用网 。由于潜伏期长、症状隐匿,极易被误诊为普通癫痫或脑肿瘤。刘妲特别提醒,预防寄生虫感染,关键要做到“三不”:不喝生水,不吃生食或未煮熟的食物,不用生肉敷贴伤口。
来源:广州日报
猜你喜欢
- 7小时前皇冠信用网代理申请 _今天很多上海人在问,外面是什么味道?喉咙好难受...浙江一些地方也是
- 15小时前皇冠信用盘如何申请 _泰国缴获柬埔寨中式武器后,找中国使馆兴师问罪,我方有言在先!
- 1天前皇冠信用網在哪里开通 _共青团岳阳市委书记沈澍跨市履新益阳市桃江县委副书记
- 1天前皇冠信用網怎么开户 _中方连拒三场会晤,军方对日称呼已变,日本皇室紧急出面求情,高市早苗有大动作?
- 2天前怎么开皇冠信用平台 _五角大楼绝密报告流出,台海一旦开打,解放军可轻易摧毁美航母,让美军有来无回
- 2天前如何找当地皇冠代理 _警车上下来3人牵着宠物狗?河北围场警方:涉事辅警被解除劳动关系
- 2天前皇冠信用網在线开户 _关注无人机乱象|偷猎的“空中刺客”,该管管了
- 2天前皇冠皇冠代理平台 _将中俄拒之门外,欧洲惨遭反杀,特朗普另起炉灶,替中俄出口恶气
- 3天前皇冠信用盘代理 _被外交部反制的岩崎茂,何许人也?
- 3天前皇冠信用开号 _澳枪击案空手夺枪男子系水果店老板,美亿万富翁捐近10万美元
- 3天前皇冠信用开号 _主动投案,国家税务总局浙江省税务局原党委书记、副局长龙岳辉接受审查调查
- 3天前皇冠信用网登3代理申请 _重大突破!彩虹-7高空高速隐身无人机成功首飞
- 3天前皇冠信用代理出租 _澳大利亚海滩枪击事件两名枪手身份确定
- 3天前皇冠信用網登3代理 _前裁判揭露:普利西奇进球为何被吹?奇克与萨索洛球员的接触真相大揭秘!
- 3天前皇冠信用網登3代理 _皇马险胜阿拉维斯,贝林厄姆进球被判无效
- 3天前皇冠信用網 _水晶宫主帅格拉斯纳:0比3失利不公平,镰田大地的伤势令人担忧!
- 3天前皇冠信用網需要押金吗 _WTT香港总决赛:王曼昱夺得女单冠军
- 3天前怎么申请皇冠信用网 _外媒:澳大利亚邦迪滩发生枪击事件造成12人死亡,多国领导人相继发声
- 3天前皇冠信用網登1 _240万转错账户,女子:对方欠银行700万,还是被执行人,钱一直拿不回来
- 3天前皇冠信用账号申请 _江苏省省长刘小涛、南京市代市长李忠军两个月内先后调研,南京栖霞这家企业什么来头?
- 4天前皇冠登3代理申请 _广西柳城县发生一起命案,警方悬赏10万捉拿!多方回应
- 4天前皇冠信用網代理平台 _“冤枉我,气得要死!”长沙盲人老太巷子里专挑女性带路?当事人发声,社区登门安抚
- 4天前皇冠信用网平台 _英超-刺激!狼队90分扳平94分再送乌龙 阿森纳2-1继续领跑
- 4天前皇冠信用盘代理 _短短半年翻十倍,美方发现中国秘密,特朗普突松口,背后另有企图


网友评论